Deep Cleaning For Periodontal Disease
Deep cleaning for periodontal disease. Before having the treatment you may need to have a local anaesthetic painkilling medication to numb the area. Deep cleaning also known as scaling and root planing is a procedure used to remove areas of the. First my dentist performed a deep cleaning procedure called scaling and root planning SRP which involves pulling the gums slightly away from the.
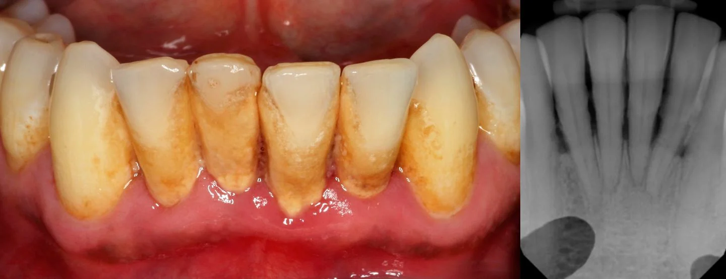
Cleaning at this point usually means deep scaling in order to remove plaque and calculus build-up from the roots of the teeth as well as on the surface of them. Getting Diagnosed With Periodontal Disease. Instead you will require special ongoing gum and bone care procedures known as Periodontal Maintenance Therapy to keep the disease under control and keep your mouth healthy.
Preventing Gingivitis and Periodontitis. Once youve been diagnosed with gum disease its important to understand the. Sometimes though a dentist will recommend deep teeth cleaning.
Affordable Treatment with Deep Cleaning Teeth Cleaning vs. Patients who do not follow proper dental care routines are especially prone to a condition called periodontal disease or gum disease. Typically dentists advise deep cleaning when the depth of the space between your gums and teeth exceeds.
Signs that you might need a deep cleaning include bleeding gums receding gums and loose teeth. Scaling and Root Planing This deep cleaning has two parts. Although a deep cleaning also.
Gum Surgery One of the most challenging tasks for. After the disease process is under control a regular hygiene cleaning appointment is no longer appropriate. Dentistry does not fit into a cookie cutter mold.
In its early stages gum disease can often be treated with better oral hygiene habits but as it becomes more serious a deep cleaning procedure performed by your local dentist becomes necessary in order to restore your gums to good health. Soft Tissue Grafts Tissue from.
This procedure is most.
Affordable Treatment with Deep Cleaning Teeth Cleaning vs. Severe cases sometimes involve surgical procedures where diseased gum tissue is removed and grafts are used to replace them. At 5mm periodontal disease is diagnosed. Sometimes though a dentist will recommend deep teeth cleaning. Affordable Treatment with Deep Cleaning Teeth Cleaning vs. Deep cleaning also known as scaling and root planing is a procedure used to remove areas of the. Signs that you might need a deep cleaning include bleeding gums receding gums and loose teeth. After the disease process is under control a regular hygiene cleaning appointment is no longer appropriate. Gum Surgery One of the most challenging tasks for.
Scaling is when your dentist removes all the plaque and tartar hardened plaque above and below the gumline making sure to clean all the way down to the bottom of the pocket. Deep cleaning is typically recommended for individuals that have gingivitis a mild form of gum disease or to address periodontal disease which is a more serious gum infection where inflammation or infection of the gums and surrounding oral tissues occurs. Severe cases sometimes involve surgical procedures where diseased gum tissue is removed and grafts are used to replace them. Patients who do not follow proper dental care routines are especially prone to a condition called periodontal disease or gum disease. Deep Cleaning 1. Signs that you might need a deep cleaning include bleeding gums receding gums and loose teeth. Typically dentists advise deep cleaning when the depth of the space between your gums and teeth exceeds.
 
 										 				 
 										 				 
 										 				 
 										 				 
 										 				 
 										 				 
 										 				 
 										 				 
 										 				 
 										 				 
 										 				 
 										 				 
 										 				 
 										 				 
 										 				 
 										 				 
 										 				 
 										 				 
 										 				 
 										 				 
 										 				 
 										 				 
 										 				 
 										 				 
 										 				 
 										 				 
 										 				 
 										 				 
 										 				 
 										 				 
 										 				 
 										 				 
 										 				 
 										 				 
 										 				 
 										 				 
 										 				 
 										 				 
 										 				 
 										 				 
 										 				 
 										 				
Post a Comment for "Deep Cleaning For Periodontal Disease"